Skip to content Skip to sidebar Skip to footer

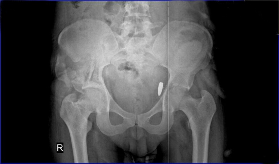
50 Cal Wound : GEMC: Gunshot Wounds: Resident Training

50 Cal Wound : GEMC: Gunshot Wounds: Resident Training. This ammunition is hand loaded and measured to exact military specifications and each component is gauged before leaving our facility. Why you might ask, answer is simple p51s and p47s machine guns acts. Makes sense.wound a soldier and you can make the enemy expend additional resources trying to save him. A faster bullet has less time to diverge from your target point due to wind, gravity etc. A.50 caliber handgun is a handgun firing a bullet measuring approximately.5 inches (12.7 mm) in diameter.

50 cal ammo loaded with spotter tracer. A 50 cal i consider is the happy medium between the 45 and its much larger brother the 54 (the way i see it.) i've not had to track any wounded game since i started with the.54. My guess is he barely got grazed but he was missing several inches of his inner thigh. This ammunition is hand loaded and measured to exact military specifications and each component is gauged before leaving our facility. Armor piercing incendiary tracer ammunition for you.50 bmg.

Many fighter planes are equipped with 20mm "cannons". What is the difference between a "cannon ...
Many fighter planes are equipped with 20mm "cannons". What is the difference between a "cannon ... from qph.fs.quoracdn.net
Fires during an exercise in germany in september 2018. My opinion is that 50 cal is op. Fortunately, it didn't seem to hamper his mobility which always. I have played air rb after long break and it is still most unbalanced game mode in this game. Magnum research bfr in.500 linebaugh.) Gun statistics of.50cal equivelents in war thunder. Makes sense.wound a soldier and you can make the enemy expend additional resources trying to save him. The browning m2 (commonly called ma deuce) has been designed at the end of world war i by john browning.

The.50 beowulf creates a significant entrance wound on game but when running it with frangibles there is rarely an that 50 cal revolver, though.

This ammunition is hand loaded and measured to exact military specifications and each component is gauged before leaving our facility. However, following the development of smokeless powder. Since the casing is once fired it may show small signs of. Thusly.50 calibre is 50/100 or.5 or half an inch. The damage done by a 50 is so sever that there is. A 50 cal i consider is the happy medium between the 45 and its much larger brother the 54 (the way i see it.) i've not had to track any wounded game since i started with the.54. 50 cal ap ammo rare headstamp, remington arms, ra43 with yellow tip, dominican ammo. A faster bullet has less time to diverge from your target point due to wind, gravity etc. My guess is he barely got grazed but he was missing several inches of his inner thigh. To change it, please edit the transcluded page. A 50 cal machine gun can be found south of the hemlock holes white warehouse in the back of a broken truck. Makes sense.wound a soldier and you can make the enemy expend additional resources trying to save him. This bottle opener is handcrafted from an authentic 50 cal casing that was previously used by the u.s.

Noreen ulr 50 bmg rifles are simplistic in design and bomb proof. He had a.50 cal flesh wound on his inner thigh. My opinion is that 50 cal is op. You need the gunsmith perk to improve this weapon. A faster bullet has less time to diverge from your target point due to wind, gravity etc.

50 cal deer hunting video2 - YouTube
50 cal deer hunting video2 - YouTube from i.ytimg.com
Round, you can see all three effects. He had a.50 cal flesh wound on his inner thigh. 50 cal ammo loaded with spotter tracer. Fires during an exercise in germany in september 2018. Makes sense.wound a soldier and you can make the enemy expend additional resources trying to save him. 50 cal ap ammo rare headstamp, remington arms, ra43 with yellow tip, dominican ammo. I've also seen someone who had survived a. Noreen ulr 50 bmg rifles are simplistic in design and bomb proof.

Gun statistics of.50cal equivelents in war thunder.

A.50 caliber handgun is a handgun firing a bullet measuring approximately.5 inches (12.7 mm) in diameter. My guess is he barely got grazed but he was missing several inches of his inner thigh. Not only did this guy survive a large caliber shot to the head (i'm unsure what caliber the japanese used on their. This ammunition is hand loaded and measured to exact military specifications and each component is gauged before leaving our facility. To change it, please edit the transcluded page. I've also seen someone who had survived a. For longer range shooting there are generally two. A.50 cal bullet passing within a foot of the human body will tear flesh just by the shockwave. 50 caliber gunshot wound 50 caliber gunshot wound, 50 caliber gunner, 50 caliber pistol actually, a.50 cal can rip someone in half, i've seen it. The m2 browning machine gun, or simply the 50 cal machine gun is a weapon in fallout 76. Armor piercing incendiary tracer ammunition for you.50 bmg. Round, you can see all three effects. My opinion is that 50 cal is op.

Which.50 caliber round are we talking? A.50 cal bullet passing within a foot of the human body will tear flesh just by the shockwave. A 50 cal machine gun can be found south of the hemlock holes white warehouse in the back of a broken truck. Bv colonial crafts » blog archive » isacchaines50cal02. However, following the development of smokeless powder.

21 | July | 2014 | NoisyRoom.net
21 | July | 2014 | NoisyRoom.net from gulagbound.com
Fires during an exercise in germany in september 2018. I've also seen someone who had survived a. Round, you can see all three effects. The.50 beowulf creates a significant entrance wound on game but when running it with frangibles there is rarely an that 50 cal revolver, though. Since the casing is once fired it may show small signs of. I have played air rb after long break and it is still most unbalanced game mode in this game. You need the gunsmith perk to improve this weapon. My opinion is that 50 cal is op.

Makes sense.wound a soldier and you can make the enemy expend additional resources trying to save him.

Noreen ulr 50 bmg rifles are simplistic in design and bomb proof. 50 cal ap ammo rare headstamp, remington arms, ra43 with yellow tip, dominican ammo. You need the gunsmith perk to improve this weapon. My opinion is that 50 cal is op. Fortunately, it didn't seem to hamper his mobility which always. A.50 caliber handgun is a handgun firing a bullet measuring approximately.5 inches (12.7 mm) in diameter. Reloaders of the big.50 no longer have to make do with undersized standard or makeshift tools to in addition to the double ended storage handle, this set includes: 50 caliber gunshot wound 50 caliber gunshot wound, 50 caliber gunner, 50 caliber pistol actually, a.50 cal can rip someone in half, i've seen it. The damage done by a 50 is so sever that there is. Bv colonial crafts » blog archive » isacchaines50cal02. Makes sense.wound a soldier and you can make the enemy expend additional resources trying to save him. Prior to the introduction of the nato round of.762 mm small arms ammunition of american manufacture are based on hundreths of an inch. 50 cal ammo loaded with spotter tracer.

Post a Comment for "50 Cal Wound : GEMC: Gunshot Wounds: Resident Training"